Indian Doctors Guide

Fig3-C
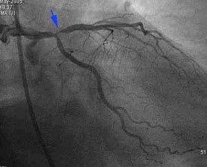
This patient, with a strong family history, had an episode of chest pain a month ago with an equivocal stress test. The cardiac CT (A, B) shows a severe stenotic lesion in the proximal LAD (blue arrows), which was confirmed on the catheter angiogram (C) and the patient was successfully stented.

Back