Indian Doctors Guide

Prepatellar bursitis

Prepatellar bursitis
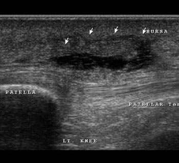
Prepatellar bursitis is seen anterior to patellar tendon.

Back