Indian Doctors Guide

Retrocalcaneal bursitis

Retrocalcaneal bursitis
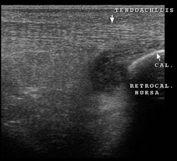
Retrocalcaneal bursitis: hypoechoic collection is seen near the site of insertion of the tendo-achillis on calcaneum.

Back