Indian Doctors Guide

Ruptured Baker's Cyst

Ruptured Baker's Cyst
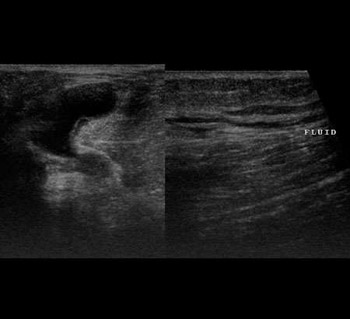
Anechoic cystic area seen behind the knee joint with adjacent fluid in soft tissues, suggesting ruptured Baker's cyst.

Back